13χρονος κατάπιε 80-100 μαγνήτες – Στο χειρουργείο μετά από έντονους πόνους
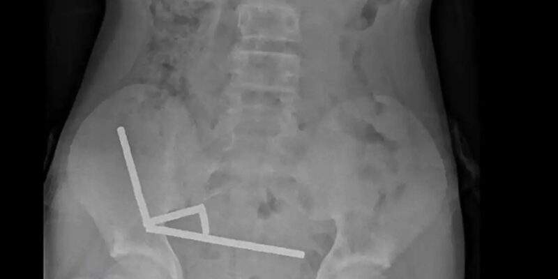
Μια σοκαριστική περίπτωση αντιμετώπισαν οι γιατροί στη Νέα Ζηλανδία, όταν ένας 13χρονος κατέληξε στο χειρουργείο αφού είχε καταπιεί δεκάδες ισχυρούς μαγνήτες, προκαλώντας σοβαρές βλάβες στο έντερό του. Κατάπιε περίπου 100 μαγνήτες και υπέφερε για μέρες Το περιστατικό καταγράφηκε στο νοσοκομείο Ταουράνγκα, στο βόρειο τμήμα της Νέας Ζηλανδίας, όπου το ανήλικο αγόρι διακομίστηκε ύστερα από τέσσερις […]Μετάβαση στην Πηγή ALLDAYNEWS
Author: Λία Τ.
Πως σας φάνηκε το αρθρο?
ΑΠΙΘΑΝΟ
0
ΚΑΛΟ
0
ΜΕ ΑΡΕΣΕ
0
ΟΚ ΔΕΝ ΤΡΕΛΑΘΗΚΑ
0
ΧΑΧΑ ΕΛΑ ΠΛΑΚΑ ΚΑΝΕΙΣ
0











